A tuberculose constitui um importante problema de saúde pública mundial. A co-infeção pelo HIV contribui para o aumento da incidência da doença e em particular a causada por estirpes de Mycobacterium tuberculosis (MT) multirresistentes. Os autores descrevem um doente HIV-positivo com tuberculose pleural e ganglionar diagnosticada pelas características bioquímicas do líquido pleural e resultados anatomo-patológicos de biopsias, mas sem identificação do agente, que posteriormente apresentou envolvimento do joelho. A artrocentese do joelho permitiu o isolamento do MT e a realização de teste de sensibilidade, possibilitando o diagnóstico de tuberculose multirresistente e a instituição de um esquema terapêutico adequado.
A identificação do MT e a realização de testes de sensibilidade são muito importantes, especialmente em doentes com co-infecção por HIV.
Tuberculosis remains a major public health problem worldwide. HIV co-infection is contributing to an increased incidence of the disease, particularly that caused by multidrug resistant strains of Mycobacterium tuberculosis (MT). We describe an HIV-infected patient with pleural and lymph node tuberculosis diagnosed by pleural effusion characteristics and biopsy specimens, without MT identification, that further presented with knee-joint involvement. Arthrocentesis allowed MT isolation and drug susceptibility testing, resulting in a diagnosis of multidrug-resistant tuberculosis and an appropriate treatment regimen.
MT identification and drug susceptibility tests are very important, especially for HIV co-infected patients.
A tuberculose (TB) constitui um problema de saúde pública mundial. Estima-se que em 2009, 14 milhões de pessoas viviam com tuberculose e que 1,7 milhões tenham morrido por essa doença, destes 0,38 milhões estavam co-infetados pelo vírus da imunodeficiência humana (VIH)1. A co-infeção pelo VIH está associada, não só a um aumento da incidência de TB, mas também ao aumento da incidência de doença causada por estirpes multirresistentes (MR) de Mycobacterium tuberculosis (MT)2. A incidência de apresentações atípicas de TB, incluindo a doença extra-pulmonar e disseminada, aumenta com o nível de imunodeficiência3,4.
Apesar do envolvimento osteoarticular ocorrer em 1-3% dos doentes com TB5,6, o atingimento da articulação do joelho é extremamente raro, descrito em cerca de 0,1% dos casos7. Ao contrário de todas as outras manifestações extra-pulmonares que são mais frequentes em doentes co-infectados pelo VIH-1, a artrite tuberculosa extra-espinhal parece ser ainda menos frequente8.
Além dos doentes VIH-positivos, aqueles que tenham tido tratamentos anteriores por TB também têm risco aumentado de desenvolver resistência aos fármacos utilizados. A presença de MR torna os esquemas terapêuticos constituídos por fármacos de 1.a linha menos eficientes9 e, na ausência de rápido diagnóstico e adequação terapêutica poderão, ainda, amplificar as resistências10. Desta forma, o diagnóstico microbiológico com a identificação do MT e a realização de testes de sensibilidade antimicrobiana (TSA) são preponderantes e recomendados11,12. A identificação de estirpes MR permite o recurso a esquemas que contenham fármacos de 2.a-linha, o que aumenta a possibilidade de cura, para além de prevenir a amplificação e propagação das resistências.
Com o intuito de diminuir a incidência de TB-MR em Portugal, através do reconhecimento precoce de padrões de resistência e pela rápida adequação dos esquemas terapêuticos, foram criados os Centros de Referência Regional para a Tuberculose Multirresistente (CRRMR). Quando uma estirpe multirresistente de MT é identificada nessa área geográfica, o centro é notificado. Se necessário, a medicação é otimizada ou um novo esquema de tratamento é iniciado.
Caso clínicoOs autores descrevem o caso clínico de um homem de 40 anos que, em Maio de 2009, apresentava febre persistente desde há 5 dias, anorexia e perda de peso (12 kg) com 2 meses de evolução. Negava dispneia, tosse ou expetoração. O seu processo clínico revelava história de alcoolismo, toxicodependência e infeção pelo VIH diagnosticada em 1993 (sob tratamento anti-retrovírico). Tinha antecedentes de tuberculose pulmonar e ganglionar diagnosticada em 2001. Nessa altura havia sido identificada uma estirpe resistente à isoniazida e estreptomicina e tinha efetuado tratamento com isoniazida (H), rifampicina (R), pirazinamida (Z) e etambutol (E) (fase de iniciação) e posteriormente HR (fase de manutenção) num total de 16 meses.
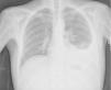
Ao exame objetivo (Maio de 2009) apresentava mau estado geral, peso de 45 kg, febre (temperatura auricular de 39,5°C) e taquicardia. Estava normotenso, com saturações de 99% (FiO2-21%) em oximetria de pulso. À auscultação pulmonar de salientar a diminuição dos sons respiratórios na base do campo pulmonar esquerdo. A avaliação analítica efetuada mostrava forma leucocitária normal (CD4+ - 269mm3), anemia (11,9g/dL) e aumento da proteína C-reactiva (24mg/dL). A radiografia de tórax mostrava opacidade na base esquerda sugestiva de derrame pleural (fig. 1) e efectuou Tomografia Computorizada toraco-abdominal que confirmou a presença de derrame pleural, não mostrou alterações pleuroparenquimatosas e detetou massa mesentérica com 5,5cm de diâmetro.
Foi efetuada toracocentese diagnóstica sendo o líquido pleural compatível com exsudado de predomínio de linfócitos e com doseamento de ADA elevado (63 U/L). A biopsia da massa mesentérica mostrou granulomas epitelioides, com exame micobacteriológico direto e cultural negativo. Os exames micobacteriologicos de expetoração e líquido pleural foram persistentemente negativos.
Estes achados sugeriam o diagnóstico de tuberculose pleural e ganglionar. Apesar dos resultados do TSA efetuado em 2001, foi iniciado um regime terapêutico com HRE.
Após 2 semanas, mantinha febre persistente e desenvolveu dor, sinais inflamatórios e limitação da mobilidade do joelho direito. Foi efetuada artrocentese com intuito terapêutico (alivio sintomático) e diagnóstico com colheita de líquido sinovial. A análise micobacteriologica deste produto revelou exame direto negativo, mas o exame cultural permitiu o isolamento de MT. Foi efetuado teste molecular de sensibilidade que revelou tratar-se de uma estirpe resistente à H e R. O teste de sensibilidade a fámacos de 2.°-linha mostrou suscetibilidade ao etambutol, capreomicina, moxifloxacina, etionamida e cicloserina.
Após o diagnóstico de TB-MR, o nosso centro de referência foi notificado. O doente iniciou novo esquema terapêutico com etambutol, capreomicina, moxifloxacina, etionamida e cicloserina.
Após 3 meses de tratamento, teve uma crise tónico-clónica generalizada e por suspeita de toxicidade secundária à cicloserina esse fármaco foi suspenso. Efetuou ressonância magnética cerebral que mostrou a presença de lesão compatível com granuloma tuberculoso (fig. 2). Foi associada corticoterapia ao regime terapêutico.
A capreomicina foi suspensa aos 6 meses de tratamento e iniciou a fase de manutenção com os restantes fármacos. Completou um total de 18 meses de tratamento com franca melhoria clínica, completa resolução dos sintomas do joelho, melhoria persistente do derrame pleural e regressão das lesões cerebrais.
DiscussãoOs autores descrevem um doente com TB-MR diagnosticada através de análise micobacteriológica de liquido sinovial do joelho. Apesar de existirem na literatura algumas descrições de tuberculose sinovial13–15 (especialmente em doentes co-infetados pelo VIH), o diagnóstico de uma estirpe de M. tuberculosis multirresistente através de análise de líquido sinovial é, pelo nosso conhecimento, reportado pela primeira vez.
O envolvimento da articulação do joelho é uma manifestação extra-pulmonar rara de tuberculose, mas a sua incidência parece estar a aumentar8. Está associada à co-infeção pelo VIH3, resultando da disseminação hematogênica de um foco primário.
Este doente infetado por VIH apresentou febre persistente, sinais inflamatórios do joelho direito e limitação da mobilidade dessa articulação 2 semanas após ter sido diagnosticado com tuberculose pleural e ganglionar. Neste contexto, infeção era o diagnóstico mais provável, especificamente uma manifestação extra-pulmonar de tuberculose, o que preveniu o atraso diagnóstico associado às manifestações osteoarticulares da tuberculose7. Uma cuidada investigação etiológica deve ser efetuada pois outros agentes podem estar envolvidos e, tal como demonstrado neste caso, a possibilidade de isolar o agente responsável pode ter impacto determinante no tratamento e prognóstico. Foi anteriormente descrito na literatura um caso de artrite por Mycobacterium avium complex num doente imunocompetente16, este agente também originaria uma resposta imunológica com formação de granulomas. No entanto, apesar da infeção por micobactérias não tuberculosas poderem explicar os granulomas epitelioides encontrados neste caso, o envolvimento osteoarticular, pleural e ganglionar não são manifestações comumente encontradas nesses casos17.
Apesar de 40-60% dos doentes com tuberculose disseminada terem tuberculose pulmonar18, a tomografia computorizada do tórax não revelou alterações parenquimatosas e a análise de expetoração foi persistentemente negativa. Também interessantes foram os resultados negativos da análise do líquido pleural. De acordo com a literatura, o derrame pleural não só é mais frequente nos doentes co-infetados com VIH,19 mas também a rentabilidade dos exames direto e cultural do líquido pleural é maior19,20. Uma possível explicação é o facto de o doente apresentado estar sob terapêutica anti-retrovírica na altura do diagnóstico e ter contagem de células CD4+ > 200 cells/mm3, de qualquer forma estes resultados devem ser assinalados. Apesar do exame histológico e microbiológico da pleura estar associado a elevada rentabilidade nestes casos, não foi efetuado.
Este doente tinha história de tuberculose pulmonar e ganglionar em 2001. A possibilidade de se tratar de uma re-infeção ou de reativação é, ainda, uma questão controversa21. Recentemente, Reniero et al. encontraram evidência fundamentada – experimental e epidemiológica – que apoiam o papel preponderante da re-infeção22. Relativamente ao caso em discussão, devemos ter em atenção que o doente em 2001 apresentava uma estirpe resistente à isoniazida que não foi adequadamente tratada. Nessa altura efetuou terapêutica de manutenção com rifampicina e isoniazida (a que era resistente) e 8 anos após foi diagnosticado com uma estirpe de MT resistente a ambos os fármacos.
A resistência a fármacos pode resultar da administração de regimes terapêuticos inadequados pelos profissionais de saúde ou pela incapacidade de assegurar que os doentes adiram ao tratamento12. Tratamentos prévios de tuberculose são um fator determinante de risco para TB-MR23,34, tal como a coinfeção por VIH12. Este doente apresentava ambos os fatores de risco para TB-MR.
Idealmente, para que o esquema terapêutico mais adequado seja instituído, mediante o isolamento de MT devem ser efetuados TSA. No entanto, neste doente, o exame micobacteriológico cultural das amostras de expetoração e de líquido pleural foram negativas, tendo sido apenas possível o isolamento de MT no líquido sinovial permitindo, consequentemente, o diagnóstico de estirpe multirresistente. Este caso permite salientar a importância da identificação de estirpes MR, especialmente em doentes com tuberculose disseminada e tuberculomas cerebrais e realçar a importância de um programa nacional que permite integração da abordagem e tratamento da TB-MR.
O CRRMR assegura que o esquema terapêutico mais adequado é selecionado por uma equipa com experiência em tuberculose MR, garante que os fármacos necessários são disponibilizados e que a TOD é estritamente cumprida. Neste caso o CRRMR foi notificado pelo laboratório de microbiologia perante a identificação de uma estirpe MR. Apesar desta forma de notificação não permitir que os médicos do centro de referência sugiram um tratamento empírico nos casos de suspeita de resistência a fármacos (não nos sendo possível justificar a opção de tratamento com HRE feita antes da referenciação), permite que perante um diagnóstico de TB-MR as medidas adequadas sejam tomadas e que o esquema seja, então, o mais adequado possível.
As avaliações clínicas mensais efetuadas pelos médicos do centro de referência permitem rápida intervenção perante agravamento clínico, bem como monitorização dos efeitos laterais muitas vezes associados aos tratamentos de 2.°-linha. O episódio de crise tónico-clonica generalizada permitiu o diagnóstico de tuberculoma cerebral, após 3 meses de tratamento, sendo nossa opinião que o envolvimento cerebral já estaria presente mas assintomático na altura do diagnóstico, mas a cicloserina, que aumenta a reatividade cerebral, poderá tê-lo tornado sintomático.
Conflito de interessesOs autores declaram não haver conflito de interesses.







