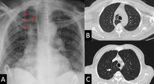
A 53-year-old woman presented to the emergency department with shortness of breath. A chest radiograph taken with a digital portable unit demonstrated an abnormality in the superior lobe of the right lung concerning for neoplasm, warranting workup with computed tomography (CT). CT of the chest demonstrated the rare anatomical variant of an azygos lobe. The azygos vein was identified as separating the superior lobe from an azygos lobe.
The azygos system is a paired venous pathway of the posterior thorax with numerous congenital anomalies such as the absence of the azygos vein, azygos and hemiazygos continuation of the inferior vena cava, and partial anomalous pulmonary venous return.1-3 The azygous vein is surrounded by two visceral layers and two parietal layers of pleura due to its entrapment in the lung parenchyma.3,4 The azygos lobe, a congenital azygos anomaly, presents as an accessory lobe of the right lung that can be confused with pathologic processes such as a bulla, abscess, or neoplasm.2,4,5 It is a rare anatomical variant seen only in 0.4 percent of the population radiologically and 1 percent of specimen during anatomical dissection.4,5
The azygos lobe is formed due to incomplete medial migration of the right posterior cardinal vein, one of the precursors of the azygos vein, into the apex of the lung instead of normal migration over it during embryogenesis.2,3,6 The abnormal azygos migration results in a classic para-tracheal shadow on x-ray along with several other key x-ray findings. 1) The laterally displaced azygos vein or mesoazygos is found between folds of parietal pleura, creating a teardrop shape; 2) The mesoazygos indents the right upper lobe and creates an accessory azygos fissure, creating a shape like an inverted comma; 3) The azygos lobe is bordered superiomedially by the accessory azygos fissure, laterally by the pleural folds of the mesoazygos, and medially by the tracheobronchial angle, which appears empty on x-ray.3,4
Most cases of azygos lobe are incidentally discovered but there are cases of tumors, pneumothorax, and consolidations found in the azygos lobe.1,3,4 A displaced azygos vein can often be confused with a pulmonary nodule and a consolidated azygos lobe can be confused with a pulmonary mass.1-4 An understanding of the azygos lobe anatomy is important for all clinicians especially pulmonologists, radiologists, and thoracic surgeons (Fig. 1).
Chest frontal view radiograph (A) demonstrating the hyperdense lateral borders (arrowheads) of the azygos lobe (AL). Radiographs were taken with a 32kW Mobile X-ray unit (70 kVp, 320 mA, 0.5 sec). Superior (B) and inferior (C) axial CT images identifying the azygos vein (B) which separate the azygos lobe from the superior lobe. CT imaging was high resolution CT (HRCT) (slice thickness: 1 mm, scan time: 1 sec, 120 kV, 100 mA). The white arrow (C) shows the boundary of the lobe which is separated by 2 layers of visceral and pleura.
None.
None.






